正常収縮における血管平滑筋とカルシウムイオンの関係
カルシウムイオンの濃度によって血管は収縮と弛緩を繰り返しています
Contents

監修

国立大学法人 山口大学
小林 誠
(こばやし せい)名誉教授
世界に先駆け、血管の異常収縮の原因分子とその作用、メカニズムの解明に成功。小林式EPA開発者。血管病の撲滅のために日々研究に邁進する。
血管の収縮には、大きく分けると、「正常な収縮」と「異常な収縮」の2種類があります。
私たちの血管は、収縮と弛緩(しかん)を繰り返し、血流や血圧を一定に保っています。これが「血管の正常収縮」で、生命の維持になくてはならないものです。 血管を動かす筋肉組織(血管平滑筋細胞)内のカルシウムイオン濃度によって調節され、そのメカニズムは生物学の大原則として知られています。
正常収縮における血管平滑筋とカルシウムイオンの関係
カルシウムイオンの濃度によって血管は収縮と弛緩を繰り返しています
「血管の異常収縮」とは、突然血管が痙攣するようにギュッと縮んで血流を滞らせる現象です。長年の乱れた生活習慣が招く動脈硬化と違い、生活習慣や健康診断の結果に問題がない方にも前触れなく突然発症することがわかっています。
「血管の異常収縮」が起きると、正常収縮に異常な収縮が加わるために、大きな収縮が起きて血行障害を起こしてしまうのです。
血管の正常収縮時
血管の正常収縮時は血液がグングン流れる
血管の異常収縮時
血管の異常収縮で血管がギュッと縮んで、血流が止まる。
(1)発症の仕方が“異常”
血管の異常収縮は、スポーツ選手や健康診断で全く問題のない健康に気をつけている人であっても、突然起こる可能性があります。
(2)収縮の度合いが“異常”
正常収縮とは比較にならないほどの大きな収縮を起こし、血流をせき止めてしまいます。
(3)収縮のメカニズムが“異常”
医学、生物学、サイエンスという領域の学問の常識では説明のつかない、まったく未知のメカニズムによって引き起こされます。
従来の治療は、正常収縮をおさえる見せかけの治療法でした
血管の異常収縮のメカニズムがわからず、しかも、突然起こるため、患者に施す処置は、異常収縮が起こっても血管がふさがらないようにあらかじめ血管を広げておく、つまり、正常収縮だけを抑制する見せかけの治療法しかありませんでした。
根本的な治療をするためには、異常収縮のメカニズムを解明する必要がありました。
従来のアプローチ

従来の治療技術では、カルシウムイオンを抑えて正常な収縮も抑制してしまうが、異常収縮には変化がない。
根本的アプローチ(理想の治療法)

血圧維持に必要な正常な収縮には影響せず、異常収縮だけを抑制できる。
山口大学の小林誠教授は、「血管の異常収縮」の理想的な治療法は、「正常収縮」には影響を与えずに「異常収縮」だけを顕著に抑制できる治療であると考えていました。そこで、生物学の大原則でさえ説明のつかない医学界の難問を解明するため、研究チームとともに研究の日々に専心したのです。
Contents
小林教授と研究チームが発見した血管の異常収縮のメカニズムは、カルシウムイオンによらない、医学の常識を覆すものでした。
SPC、Fyn、Rhoキナーゼという3つの物質が原因だったのです。
まず、細胞の中にSPC(スフィンゴシル・ホスホリル・コリン)という脂質が発生します。
SPCは人間のあらゆる細胞膜を構成している物質で、SPH(スフィンゴミエリン)という分子の一部が切れて発生すると考えられています。
異常収縮の原因物質であるSPCが細胞外から細胞内へ取り込まれ、SPCが細胞質で作用すると、Fynという酵素がコレステロールが沈着した細胞膜の「膜ラフト」と呼ばれる部分に移動して活性化されます。すると、Rhoキナーゼという酵素も膜ラフトに移動して活性化され、異常収縮が起こります。これが、小林教授らによって発見された血管の異常収縮のメカニズムです。
※膜ラフト…細胞膜の中にあって伝達に特化したタンパク質などを多く含む領域のこと。コレステロールが溜まると、膜ラフトをつくります。
※Rhoキナーゼ…血管の収縮(正常な収縮)を調節する働きを持っています
血管の異常収縮の仕組み



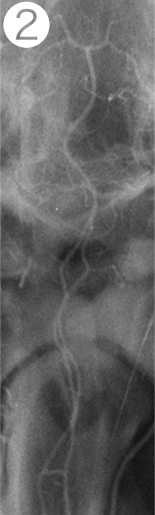
モデル動物の脳血管に原因物質SPCを投与して検証


①SPC投与前の血管
⇒正常な血管の状態
②SPC投与2時間後の血管
⇒SPCを一回投与しただけで2時間もの長い間
広範囲で著明な血管の異常収縮が認められた
小林教授と研究チームは、2003年に東京都で開かれた学会「スパズム・シンポジウム」にて、この論文を発表しました。さらに、その偉業は循環器系の世界的権威である「Circulation Research(サーキュレーションリサーチ)」に3度掲載され、2度も編集者によって特別に紹介されるほど、画期的な発見でした。
異常収縮が起こりやすい人はどんな人?
異常収縮が起こりやすい人はいます。当ページの上で説明した通り、異常収縮が起こる原因物質SPCはコレステロールが沈着した血管で作用しやすいため、コレステロール値が高い人ほど、血管の異常収縮を起こしやすいのです。
以下の項目に当たる人は特に要注意です。
これだけではありません。健康に見えるスポーツ選手にも血管の異常収縮は起こります。
スポーツ選手の多くはオフシーズン期に、身体づくりを目的として「たんぱく質」を多く摂取します。
一方で、試合期には「糖質(炭水化物)」をメインとした食事に切り替え、エネルギーの消耗に耐える食生活を送ります。
しかし、この極端ともいえる食生活こそが血管の異常収縮につながるのです。
「糖質(炭水化物)」の過剰な摂取は、LDLコレステロールの増加につながる大きな要因のひとつ。
「たんぱく質」メインであった食事から急激に「糖質(炭水化物)」の摂取が増えることで、LDLコレステロールの急増につながり、血管の異常収縮を起こすリスクが非常に高くなるのです。
このように、普段から体を動かし健康的に見える人でも、一瞬の乱れた食生活により血管の異常収縮は起こってしまうものなのです。
みなさんも普段から規則正しい生活リズムと食生活、そして事前の予防を心がけ、血管の異常収縮を食い止める必要があるのです。
異常収縮を引き起こすメカニズムをどこで止めるのか?
タンパク質リン酸化酵素であるRhoキナーゼもFynも、どちらも身体の中ではさまざまな重要機能に関わっている物質。つまり、血管の異常収縮を引き起こすからといってRhoキナーゼやFynの働きを止めることは身体の変調につながってしまうのです。
上の図にあるように、SPCがFynを膜ラフトへ移動させ、FynがRhoキナーゼを膜ラフトへ移動させ、血管の異常収縮を引き起こしてしまいます。異常収縮を抑制するには、
①SPCを発生させないようにする
②SPCそのものを抑制する
③Rhoキナーゼが活性化しないように、SPCの活動によって活性化したFynを通常の状態に戻す
という3つの方法が考えられました。
小林教授と研究チームは、原因物質SPCの活動を抑制することで、血管の異常収縮を未然に防ぐことができるのではないか?
SPCが抑制されることで、すでに膜ラフトへ移動したFynを引き剥がし、異常収縮が起きていても抑えることができるのではないか?
つまり
SPCの活動を抑制=予防
Fynを膜ラフトから引き剥がす=治療
この2つができるのではないか?という仮説をたてました。
脂質であるSPCの影響を抑制するのは、脂質=油ではないか?という推測のもと ありとあらゆる薬剤における油成分をリストアップして試しました。その結果、偶然にも青魚の油に多い「EPA」がSPCの活動を劇的に抑制することを発見しました。
さらに、EPAは膜ラフトに移動したFynを引き剥がし、もとに戻す作用もあります。つまり血管の異常収縮が起きた患者の治療にも効果があるのです。
当初小林教授は、食品成分のEPAなどもともと眼中になく、試す成分リストから外していたそうです。しかし、あらゆる成分を試し尽くしたところで「EPAでもやってみるか」とやってみたところ、効果があったので、とても意外だったということです。
豚の心臓の血管に異常収縮の原因物質SPCとEPAを投与し、実際にEPAがSPCによる異常収縮を抑制するか検証しました。
①豚の心臓の血管に異常収縮の原因物質SPCを投与
②SPCを投与された血管は収縮を起こし、ワイヤーが下がる
③収縮した血管にEPAを投与すると、収縮が元に戻った


EPAがSPCを抑制するので、Fyn、Rhoキナーゼの移動を阻止し異常収縮を防ぎます。また、すでに移動してしまったFynを膜ラフトから剥がして戻すので、異常収縮が起きてからの治療にも有効です。
小林教授と研究チームは、血管の異常収縮の作用メカニズムと原因物質を突き止め、その原因物質SPCを抑制する成分EPAまで発見しました。
しかし、ここで大きな問題が浮上しました。 EPAならどれでも効果があるわけではないということ。つまり、 血管の異常収縮に効くEPAと効かないEPAがある、という事実でした。
小林教授らは「血管の異常収縮」の抑制に効果のあるEPAの研究・開発に乗り出しました。